肾透明细胞癌
发布时间:2022-11-01
发布时间:2022-11-01
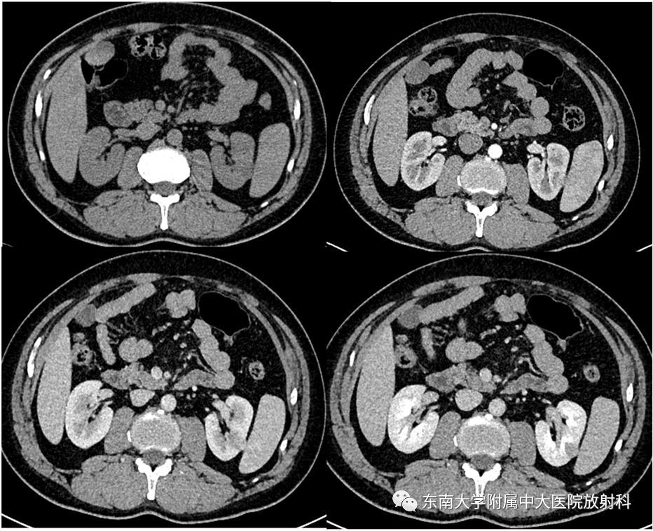
病例1
•男,46岁
•主诉:因“咽部不适3月”入院。入院胸部CT提示发现肾脏占位。

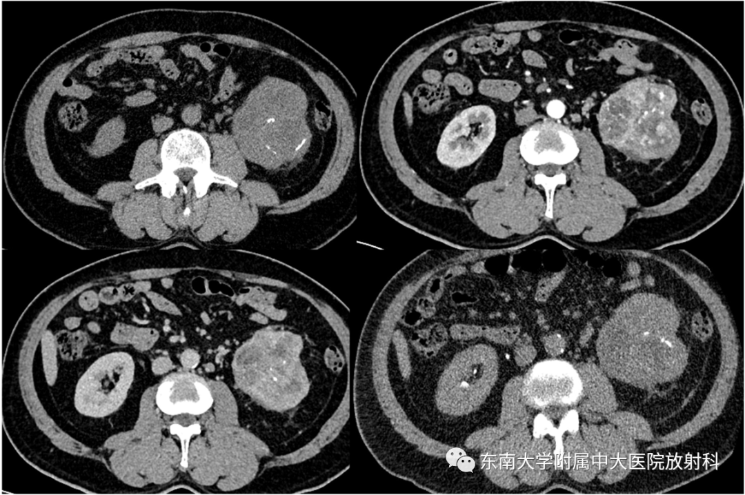
病例2
•男,54岁
•主诉:因肉眼血尿1月来诊。
•体格检查:肾区叩击痛



























上一篇:卵巢甲状腺肿1例CT影像