腺性膀胱炎2例CT影像表现
发布时间:2022-11-04
发布时间:2022-11-04
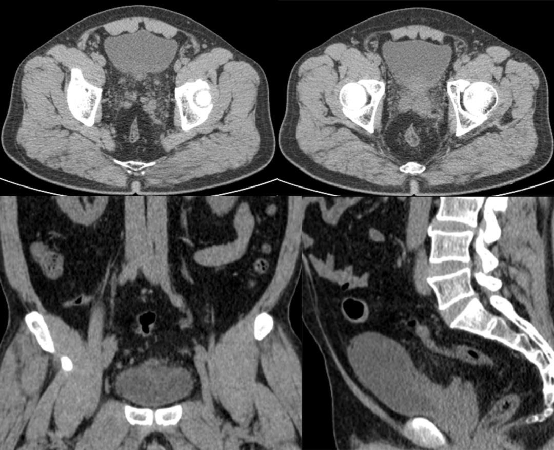
病例一
患者,男,34 岁,因尿频、尿急、尿痛 3 周,间断右侧腰痛伴发热 2 周入院。体温最高 38℃,入院查血白细胞增高。

膀胱壁弥漫性增厚、毛糙,周围脂肪间隙浑浊,腔内未见异常密度影。腹膜后及盆腔脂肪间隙广泛浑浊。
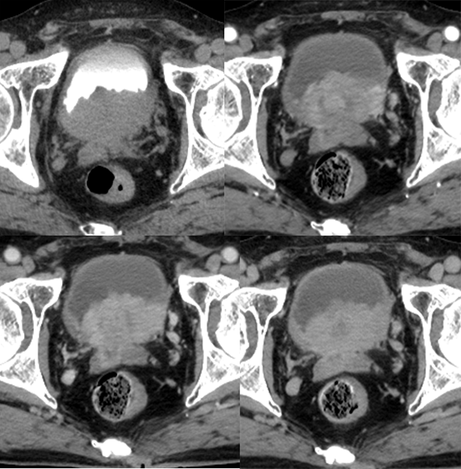
病例二
患者,男,49 岁,因尿频尿急 1 年,体检发现膀胱占位 5 天入院。

膀胱充盈尚可,后壁略增厚、毛糙,腔内未见明确异常密度影。前列腺体积不大,见结节状钙化影,双侧精囊腺略饱满,周围脂肪间隙浑浊。
2 例手术均为腺性膀胱炎
腺性膀胱炎
腺性膀胱炎是由 Von limberk(1887 年)首先报道的一种膀胱粘膜增生性疾病,临床上较少见。老年男性多见,临床症状主要为血尿和膀胱刺激症状,可并发膀胱结石。一般认为腺性膀胱炎是一种潜在的癌前病变。
病因
移行上皮化生学说:正常膀胱粘膜是没有腺体的,但在结石、 感染、梗阻等因素的慢性刺激下,粘膜上皮增生形成上皮芽,跟着上皮芽的移行细胞向下增生,达到粘膜固有层而形成移行上皮巢(即 von Brunn 细胞巢)。von Brunn 细胞巢突入基底膜,其中心细胞分化,就形成了囊性膀胱炎。若囊壁表层细胞再化 生为柱状上皮并分泌,形成了真正的腺体,即成为腺性膀胱炎或腺癌。囊性膀胱炎和腺性膀胱炎是同一疾病的不同过程。
影像表现
好发部位位于膀胱三角区及膀胱颈部,CT 表现为膀胱壁增厚、隆起性病变,多>5 mm,宽基底,病灶边缘光滑,隆起内可见囊变或钙化。增强后轻度强化,较邻近正常膀胱壁密度相似,膀胱外壁光整,局部输尿管壁可受累,一般无盆腔淋巴结肿大。影像学分型:草坪型-膀胱壁内节段性增厚;弥漫型-膀胱壁弥漫性增厚;结节型-膀胱内壁结节样隆起,表面光整、宽基底(钝角)。本病例 1 属于弥漫型,病例 2 属于草坪型。

鉴别诊断
1)慢性膀胱炎:常由上尿路急性感染迁延或慢性感染所致,临床表现为持续性或反复发作的尿频、尿急及尿痛,影像学表现为膀胱壁局限性或弥漫性增厚,增厚壁沿膀胱壁条带状走行,表面较平坦,增强不明显强化,部分可见粘膜线样强化,盆腔无肿大淋巴结。
2)膀胱癌:是泌尿系统最常见的恶性肿瘤之一,多为移行上皮癌,好发于成年男性,影像学表现:好发于后侧壁及三角区,囊壁局限或弥漫型增厚、腔内肿块,易囊变坏死,与膀胱壁分界不清,增强扫描明显强化,可侵犯浆膜面,盆腔淋巴结肿大。
3)神经源性膀胱:大脑、脊髓或膀胱病变局部支配神经发生病变引起的膀胱功能障碍,临床表现为尿储留、尿失禁,膀胱容积大,憩室形成,影像学表现:体积增大,壁厚,憩室形成

膀胱癌,累及前列腺及精囊腺

神经源性膀胱,壁弥漫性增厚,伴巨大憩室形成

神经源性膀胱,壁弥漫性增厚,过度充盈
上一篇:前列腺癌的MR扫描规范及精准诊断