【PPT】肝细胞腺瘤

发布时间:2022-10-26

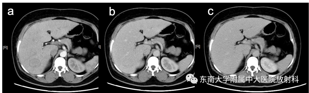
病史

女,47岁
主诉:右上腹不适2月
否认“高血压”、“糖尿病”、“肝炎”病史

【PPT】肝细胞腺瘤-1

【PPT】肝细胞腺瘤-2

【PPT】肝细胞腺瘤-3

【PPT】肝细胞腺瘤-4

【PPT】肝细胞腺瘤-1

【PPT】肝细胞腺瘤-6

【PPT】肝细胞腺瘤-7

【PPT】肝细胞腺瘤-8

【PPT】肝细胞腺瘤-9

【PPT】肝细胞腺瘤-10

【PPT】肝细胞腺瘤-11

【PPT】肝细胞腺瘤-12

【PPT】肝细胞腺瘤-13

【PPT】肝细胞腺瘤-14

【PPT】肝细胞腺瘤-15

【PPT】肝细胞腺瘤-16

【PPT】肝细胞腺瘤-2

【PPT】肝细胞腺瘤-18

【PPT】肝细胞腺瘤-19

【PPT】肝细胞腺瘤-20

【PPT】肝细胞腺瘤-21

【PPT】肝细胞腺瘤-22

【PPT】肝细胞腺瘤-23

【PPT】肝细胞腺瘤-3

【PPT】肝细胞腺瘤-25

【PPT】肝细胞腺瘤-4

【PPT】肝细胞腺瘤-5

【PPT】肝细胞腺瘤-28

【PPT】肝细胞腺瘤-6

【PPT】肝细胞腺瘤-7

【PPT】肝细胞腺瘤-8

【PPT】肝细胞腺瘤-9

【PPT】肝细胞腺瘤-10

【PPT】肝细胞腺瘤-11

【PPT】肝细胞腺瘤-12

【PPT】肝细胞腺瘤-13

【PPT】肝细胞腺瘤-14

【PPT】肝细胞腺瘤-15

【PPT】肝细胞腺瘤-16

【PPT】肝细胞腺瘤-17

【PPT】肝细胞腺瘤-18

精彩图片

热门精选