【PPT】肿块性胰腺炎

发布时间:2022-10-26

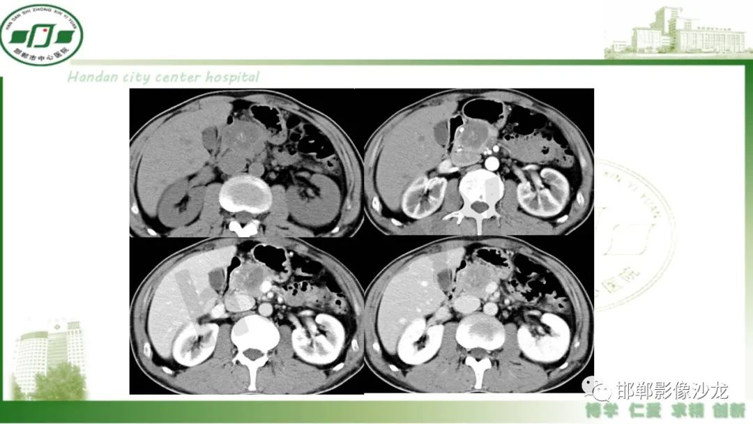
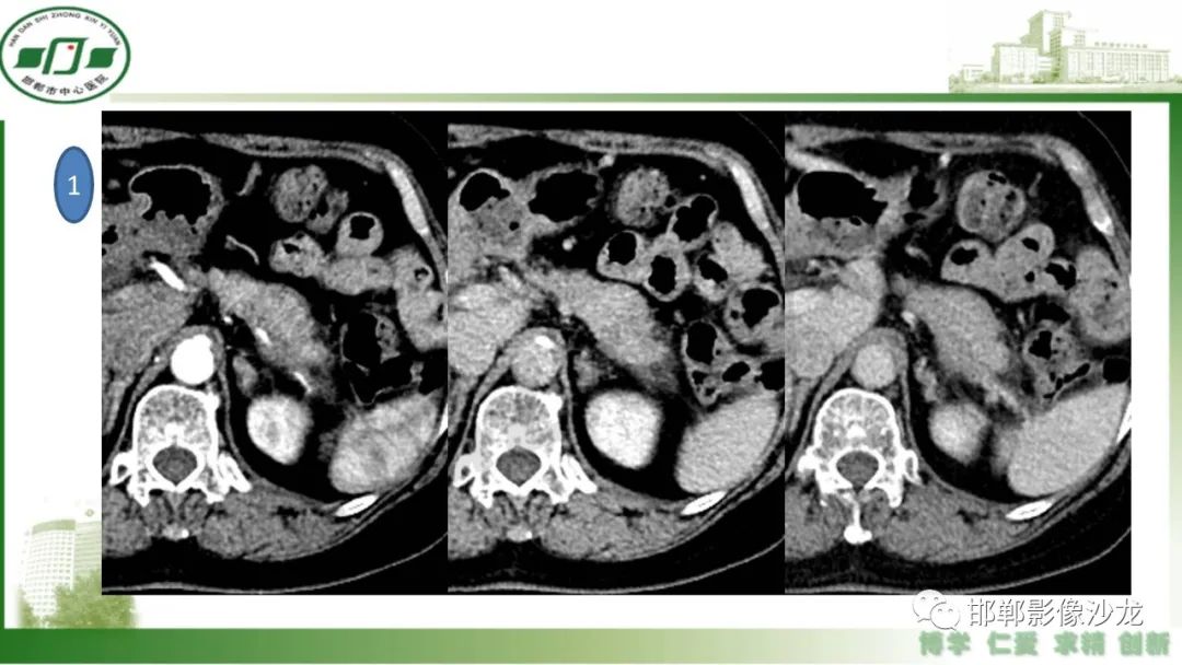
肿块性胰腺炎与胰腺癌的临床、实验室检查、影像学表现有时候很难鉴别,但两者的临床处理、预后又有很大的不同,因此我们平时工作中需要注意两者之间的区别,谨慎诊断,力争为患者及临床带来更大的帮助。

【PPT】肿块性胰腺炎-1

【PPT】肿块性胰腺炎-2

【PPT】肿块性胰腺炎-3

【PPT】肿块性胰腺炎-4

【PPT】肿块性胰腺炎-5

【PPT】肿块性胰腺炎-6

【PPT】肿块性胰腺炎-7

【PPT】肿块性胰腺炎-8

【PPT】肿块性胰腺炎-9

【PPT】肿块性胰腺炎-10

【PPT】肿块性胰腺炎-11

【PPT】肿块性胰腺炎-12

【PPT】肿块性胰腺炎-13

【PPT】肿块性胰腺炎-14

【PPT】肿块性胰腺炎-15

【PPT】肿块性胰腺炎-16

【PPT】肿块性胰腺炎-17

【PPT】肿块性胰腺炎-18

【PPT】肿块性胰腺炎-19

【PPT】肿块性胰腺炎-20

【PPT】肿块性胰腺炎-21

【PPT】肿块性胰腺炎-22

【PPT】肿块性胰腺炎-23

【PPT】肿块性胰腺炎-24

【PPT】肿块性胰腺炎-25

【PPT】肿块性胰腺炎-26

【PPT】肿块性胰腺炎-27

【PPT】肿块性胰腺炎-28

【PPT】肿块性胰腺炎-29

【PPT】肿块性胰腺炎-30

【PPT】肿块性胰腺炎-31

【PPT】肿块性胰腺炎-32

【PPT】肿块性胰腺炎-33

【PPT】肿块性胰腺炎-34

【PPT】肿块性胰腺炎-35

精彩图片

热门精选