【PPT】胰腺常见囊性病变影像表现

发布时间:2022-10-26

病史

女,78岁
主诉:发现胰腺占位性病变1月余
既往史:高血压病史25年,冠心病病史25年

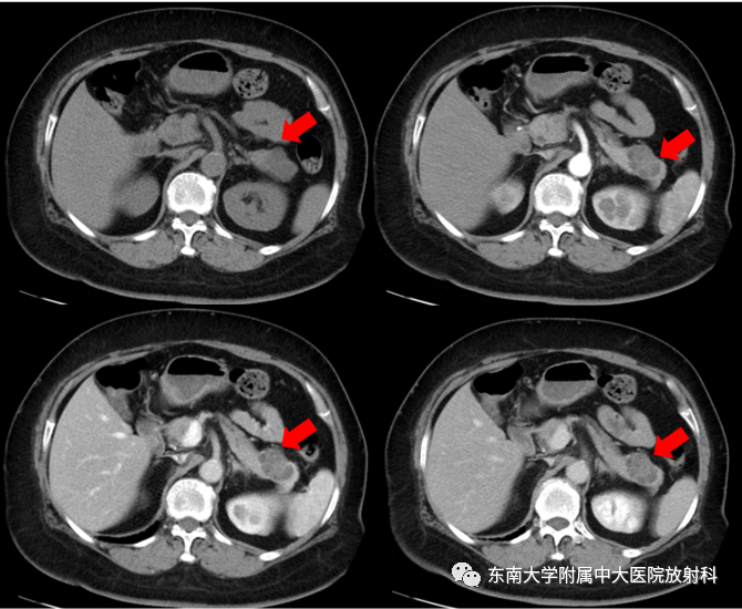
CT平扫+增强

【PPT】胰腺常见囊性病变影像表现-1

MRI平扫+增强

【PPT】胰腺常见囊性病变影像表现-2

【PPT】胰腺常见囊性病变影像表现-3

【PPT】胰腺常见囊性病变影像表现-4

【PPT】胰腺常见囊性病变影像表现-5

【PPT】胰腺常见囊性病变影像表现-6

【PPT】胰腺常见囊性病变影像表现-7

【PPT】胰腺常见囊性病变影像表现-8

【PPT】胰腺常见囊性病变影像表现-9

【PPT】胰腺常见囊性病变影像表现-10

【PPT】胰腺常见囊性病变影像表现-11

【PPT】胰腺常见囊性病变影像表现-12

【PPT】胰腺常见囊性病变影像表现-13

【PPT】胰腺常见囊性病变影像表现-14

【PPT】胰腺常见囊性病变影像表现-15

【PPT】胰腺常见囊性病变影像表现-16

【PPT】胰腺常见囊性病变影像表现-17

【PPT】胰腺常见囊性病变影像表现-18

【PPT】胰腺常见囊性病变影像表现-19

【PPT】胰腺常见囊性病变影像表现-20

【PPT】胰腺常见囊性病变影像表现-21

【PPT】胰腺常见囊性病变影像表现-22

【PPT】胰腺常见囊性病变影像表现-23

【PPT】胰腺常见囊性病变影像表现-24

【PPT】胰腺常见囊性病变影像表现-25

【PPT】胰腺常见囊性病变影像表现-26

【PPT】胰腺常见囊性病变影像表现-27

【PPT】胰腺常见囊性病变影像表现-28

【PPT】胰腺常见囊性病变影像表现-29

【PPT】胰腺常见囊性病变影像表现-30

【PPT】胰腺常见囊性病变影像表现-31

【PPT】胰腺常见囊性病变影像表现-32

【PPT】胰腺常见囊性病变影像表现-33

【PPT】胰腺常见囊性病变影像表现-34

【PPT】胰腺常见囊性病变影像表现-35

【PPT】胰腺常见囊性病变影像表现-36

【PPT】胰腺常见囊性病变影像表现-37

精彩图片

热门精选