【病例学习】肺脂肪栓塞综合征一例CT诊断
发布时间:2022-10-21
发布时间:2022-10-21
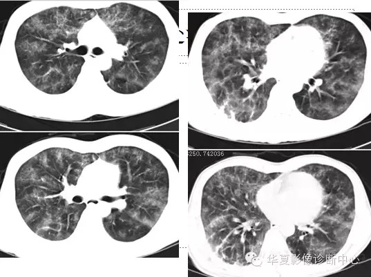
患者,男,30岁,因右胫腓骨骨折在我院治疗,患者住院期间出现咯血2天,无胸闷、气促。查体:心肺无明显异常




两肺野弥漫性分布的斑点及斑片状阴影,呈“暴风雪”样,病变以两中下肺野为多,部分小叶间隔增厚,心脏大小正常。纵隔窗显示右侧胸腔后下部少量积液。。
诊断:肺脂肪栓塞综合征。
讨论:
肺脂肪栓塞综合征为骨折后的一种并发症, 经临床诊断为肺脂栓的病例并不多, 说明部分病例由于认识不足或重视不够, 造成误诊或漏诊。肺脂栓常好发于男性, 在引起死亡的病例中, 老年人较多见。儿童因长骨骨髓脂肪含量较少, 而亦少发生脂肪栓塞。脂肪栓塞综合征发生率可达43.5 % , 死亡率可达40~60 %。shier 氏统计发生伤后24~48 小时占45 % , 48~72 小时33 %。
•创伤后含脂肪的组织(骨髓或皮下组织) 受到挤压性损伤时, 脂肪滴进入血循环。脂肪栓子大, 可能堵塞较大的肺血管, 但最多见的是堵塞小动脉和毛细血管, 栓子受脂肪酶的作用分解成脂肪酸, 破坏肺泡毛细血管基底膜, 损伤肺泡ⅱ型细胞, 使表面活性物质分泌量减少, 导致肺萎陷;毛细管被梗阻, 导致动静脉分流增加。另外栓子内的血小板破裂而释放出五羟色胺和激肽, 加剧血管收缩, 支气管痉挛和肺血管床充血。而在肺泡毛细血管内则可受挤压碎裂, 通过毛细血管进入大循环, 到达肾、脑和其他器官或再进入肺内, 引起这些器官的栓塞。部分脂肪也可经肾脏排出。脂肪栓塞一般是暂时性的或不全性的。临床上往往是突然发病, 病情严重, 在短期内又可完全消失。
肺脂肪栓塞综合征典型x 线征象为两中下肺野弥漫性分布,呈斑点或斑片状阴影, 有人描写为“暴风雪”样阴影。x 线检查对本症的诊断和动态观察有很大价值。一般在创伤后1~2 天出现, 如果不发生合并症,肺部阴影约1 周后即可消失。病人危重不宜搬动, 需用较高性能的床边x 线机进行床旁摄片。除应注意本症的典型x 线表现外, 一定密切结合临床, 尤其应注意以下几点: ①创伤病史, ②临床上出现谵妄、昏睡及昏迷等中枢神经系统症状;低氧血症引起的呼吸困难;皮肤及视网膜出现出血点, ③尿或痰内查到脂肪球, ④血小板减少、血脂肪酶升高, 血中有游离脂肪, 血沉增速, 若在痰内或尿中查到脂肪球即可确诊。