【病例学习】乳腺假体钙化一例
发布时间:2022-10-21
发布时间:2022-10-21
【病例讨论】:
51岁女性乳房切除术前研究

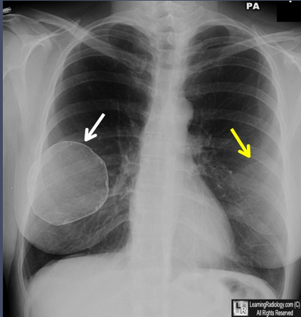
胸部X光片(正位)

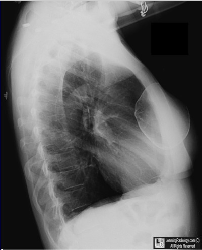
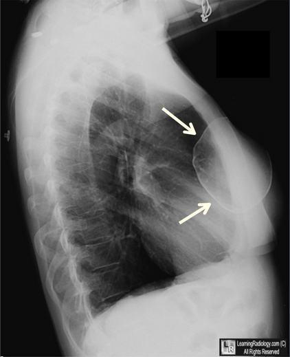
胸部X光片(侧位)
【最可能的诊断】:
2.滑石粉胸膜固定术
3.肺囊肿
4.乳腺假体钙化
5.棘虫蚴囊
【结果】:
乳腺假体钙化
【讨论】:
一般特点
【临床表现】:
【影像学表现】:
【治疗】:
对于钙化本身不需治疗


乳腺假体钙化。很薄的钙化曲线围绕在该患者12年前植入的右侧乳腺盐水假体囊周围(白色箭头)。左侧假体比正常乳腺组织密度较高(黄色箭头),但是在该胸片上未见到它的钙化。
上一篇:胸部CT阅读与诊断
下一篇:胸内(纵隔)淋巴结分区