【病例学习】典型周围型肺癌CT病例一例
发布时间:2022-10-21
发布时间:2022-10-21
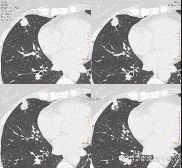
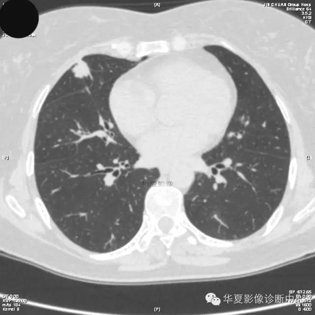
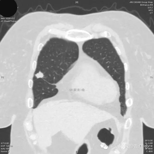
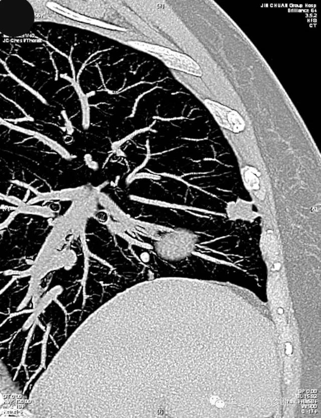
女,56岁,其父因肺癌去世,自觉胸部疼痛不适来诊要求拍胸片。













































检查所见:
1.右肺上叶:肺组织1块,大小13×4×7cm。切面棕红色。2.右肺上叶肿物:灰白色组织一块,大小3×1×1.5cm。切面灰白色。3.右肺中叶结节:灰白色绿豆大组织1块。4.淋巴结:灰黑色绿豆大组织1块。
检查结论:
(右)肺中分化鳞状细胞癌。浸及胸膜。支气管残端切净。淋巴结未见癌转移(0/10)。
下一篇:肺部空洞(样)病灶的影像诊断