【思路拓展】哪些病变会引起肺空洞?
发布时间:2022-10-21
发布时间:2022-10-21
肺空洞性病变在临床工作中并不少见,今天小编在“Clinical Radiology”上看到一篇非常好的综述,节选了一部分翻译给大家,希望对大家理解空洞形成原因及拓展诊断思路有所帮助。
肺空洞性病变形成的主要病理基础是化脓、干酪样坏死和缺血性坏死,在肿瘤、结核和真菌中最为常见。
肿瘤
1. 恶性空洞主要是由缺血性坏死导致的,经化疗和射频消融后也会形成空洞。
2. 原发性恶性肿瘤的空洞比转移性肿瘤常见,且空洞本身提示预后较差。
3. 形成空洞最常见的支气管来源恶性肿瘤是鳞状细胞癌(图1),其次是腺癌和大细胞癌。形成空洞最常见的转移性肿瘤同样是起源于头颈部或盆部、食管的鳞状细胞癌,其次是腺癌(图1)。
4. 在淋巴瘤样肉芽肿和淋巴瘤(多发病变、上叶为主)或HIV感染者的卡波西肉瘤中也可见空洞形成。厚壁、洞壁不规则和壁结节强化提示恶性空洞的可能性大。
5. 良性肿瘤形成空洞较为少见,可见于气管支气管乳头状瘤,结节在腔内播散并形成空洞(图2)。
6. 不是只有恶性病变才会导致阻塞性肺炎,良性病变也会导致,从而引起继发性空洞(图3)。

图1 (a)不规则厚壁空洞(*),右肺上叶后段支气管闭塞(箭头)。病理:差分化鳞状细胞癌。(b)子宫内膜癌切除术后,右肺尖空洞(箭头),双肺多发大小不等结节(*)。(c)双肺弥漫性含空洞结节(箭头),符合转移。(d)经甲地孕酮治疗后,病灶洞壁变薄(箭头)。

图2 气管乳头状瘤。(a)孤立性气管息肉(箭头)。(b)多发实性和空洞性肺结节(箭头)。

图3 左肺上叶肿块样实变影(*),邻近支气管受压、闭塞(长箭头),其内可见钙化(短箭头)。穿刺病理证实为成熟性畸胎瘤。
结核
1. 空洞在原发性肺结核中占40%~45%,洞壁可以薄而光滑,也可以厚而呈结节状。典型的多发空洞位于上叶尖后段。被排出的干酪样坏死物质可引起支气管播散和支气管肺炎,表现为弥漫分布的2~4 mm大小的小叶中心结节或“树芽征”和实变(图4)。
2. 约21%的空洞内有气液平面,提示细菌或真菌二重感染。在MDCT中,活动性病变通常表现为境界不清的结节、实变和小叶间隔增厚,而纤维化、瘢痕旁肺气肿、钙化结节和支气管扩张则提示慢性感染。

图4 咳嗽、咳痰,发热盗汗,体重减轻6周。右肺上叶见空洞融合(*),左肺上叶见多发“树芽征”(箭头)。痰涂片示结核分枝杆菌感染。
真菌
1. 曲菌病根据感染者免疫系统情况不同可分为腐生性(曲菌球)、半侵袭性和侵袭性三种类型(小编按:经典分类为曲菌球、变态反应性支气管肺曲菌病和侵袭性肺曲菌病)。烟曲菌是最常见的致病菌。
2. 曲菌球是在原有空洞基础上发生二重感染形成的,由菌丝、炎性细胞、纤维蛋白和碎片组成(图5)。曲菌球若边缘光滑,一侧与空洞壁之间形成新月形透亮区,称“空气新月征”。邻近胸膜增厚是一个早期征象,出现时间比曲菌球早3年左右。气液平面、空洞内完全填充及钙化较少见。无强化结节、附近有支扩、已有肺基础病变、随体位改变移动可作为与恶性空洞性病变的鉴别点。50%~80%的患者并发支气管动脉增粗,这可能引起致命性的大咯血(图5)。

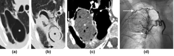
图5 曲菌球形成。a)右肺上叶较大空洞(*),壁薄。(b)洞壁增厚,与腔内肿块(*)形成“空气新月征”,邻近胸膜增厚(箭头)。(c)2年后,成熟曲菌球形成,增粗的肋间动脉和支气管动脉间形成侧支循环(箭头),后经血管造影证实(d)。
3. 半侵袭性肺曲菌病主要发生在免疫功能轻度低下或疲劳的患者。胸膜增厚是局部侵犯的早期表现,上叶的肺段实变、厚壁空洞伴慢性纤维化可持续数月至数年。
4. 侵袭性肺曲菌病主要发生在免疫功能严重受损的患者,常伴中性粒细胞减少。局部肺动脉被菌丝堵塞,曲霉菌对血管有特殊的亲和力,侵犯血管导致血栓形成,造成小的梗死灶,梗死灶周围的出血和渗出形成CT上边缘模糊的磨玻璃影,称“晕征”。约1~3周后,随着中性粒细胞水平恢复正常,感染区会形成空洞,出现“空气新月征”(图6),此征象是由梗死的肺组织回缩牵拉空洞壁造成的,也被认为是预后良好的表现。

图 6 急性白血病骨髓移植术后患者,中性粒细胞减少。(a)左肺上叶局部实变(*),伴周围磨玻璃样晕环。(b)恢复期可见“空气新月征”(箭头)。(c)残留的瘢痕和小空洞(箭头)。痰培养证实为烟曲菌感染。
友情提示:不要忘记肺梗死也会形成空洞。典型的梗死区基底部较宽位于胸膜,尖端圆隆指向肺门,呈楔形,在慢性和急性肺栓塞中均可形成空洞(发生率分别为11%和5%)(图 7)。约50%合并空洞的肺梗死会引发二重感染,其中梭状芽胞杆菌更易在梗死区引起坏死性空洞性肺炎。除肺栓塞外,瘤栓、血管内异物、肺动脉肉瘤和大血管的血管炎也会引起空洞性肺梗死。

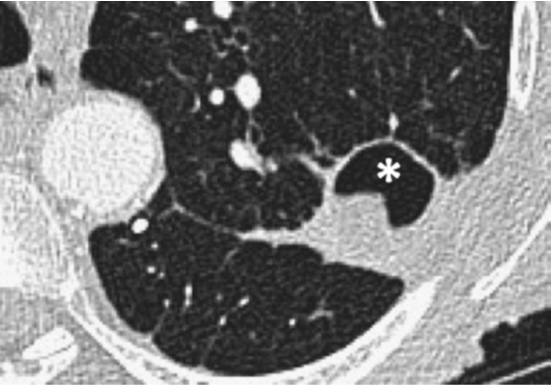
图 7 慢性肺栓塞患者,右肺上叶见楔形宽基底实变区伴空洞(*)。
节选自:Mortensen K H, Babar J L,Balan A. Multidetector CT of pulmonary cavitation: filling in the holes[J].Clinical Radiology, 2015, 70:446–456.
上一篇:乳腺MRI:从检查到诊断
下一篇:肺弥漫性病变HRCT诊断