【病例学习】孤立性纤维性肿瘤2例CT影像表现
发布时间:2022-10-21
发布时间:2022-10-21
病例1【病史】
患者男,50岁。
患者因“突发胸痛4余天”入院。患者无发热、盗汗,无声音嘶哑,无咳痰,无面部及双下肢肿胀。门诊以“左前上纵膈肿瘤”收入院。患者自发病以来,饮食睡眠可,大小便正常,体重较前无明显减轻。既往高血压病史1年,否认其他传染病史。
专科查体:胸廓对称,双侧呼吸动度均等,胸壁无明显压痛及肿块,双侧语颤正常,双肺叩清音,左下肺呼吸音低,右肺呼吸音可,双肺未闻及干湿啰音。
入院诊断:左前上纵膈肿瘤:畸胎瘤?
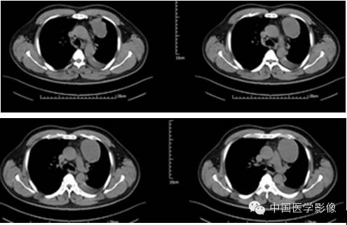
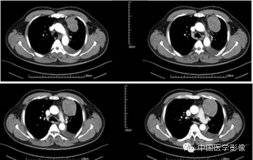
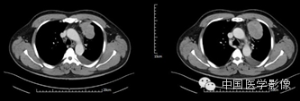
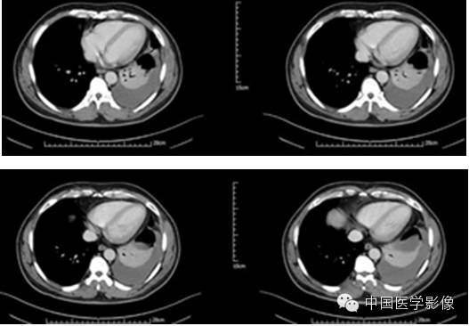
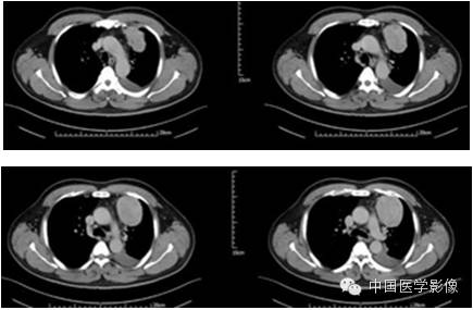
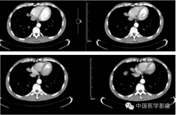
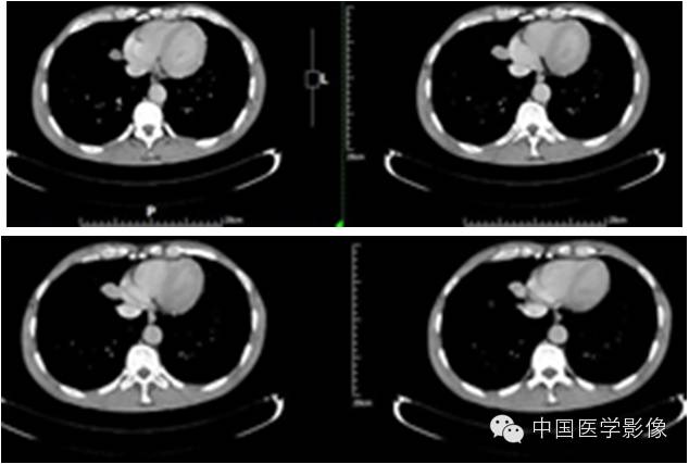
【影像资料】
平扫



动脉期



静脉期



延迟期


结果马上公布……
【病理结果】
孤立性纤维性肿瘤
病例2【病史】
患者男,47岁。
患者因“查体发现右纵膈区占位2周”入院。患者无胸痛、胸闷,无发热、盗汗,无咳嗽、咳痰。CT示:右心膈角处新生物,考虑来自叶间裂的炎性假瘤可能性大,不除外其他肿瘤可能。
专科查体:(-)
入院诊断:右下纵膈占位:心包囊肿?炎性假瘤?
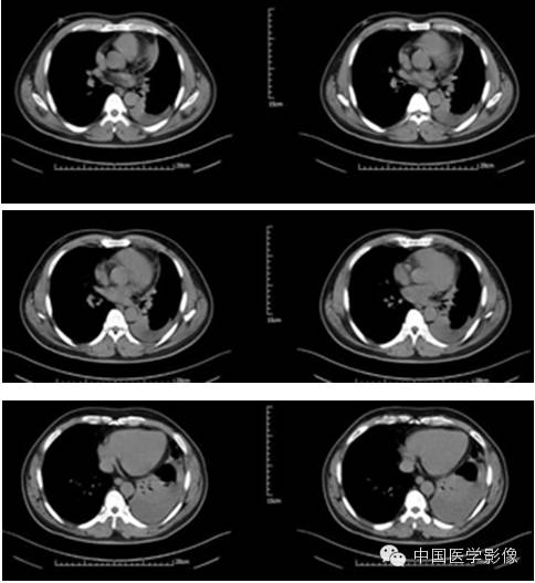
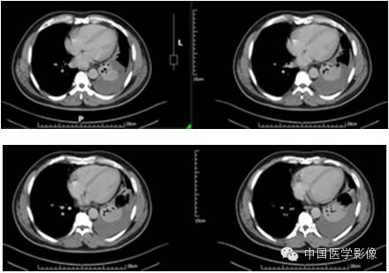
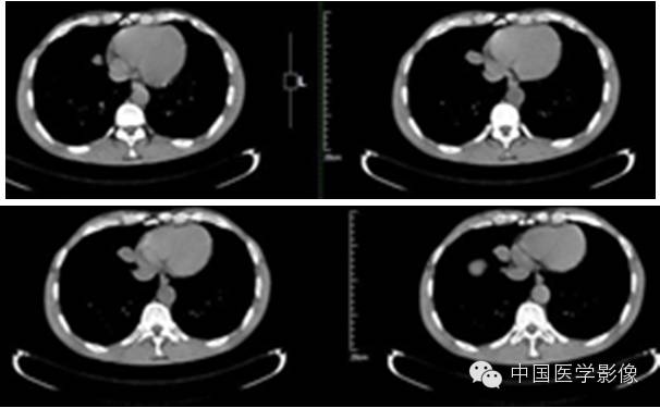
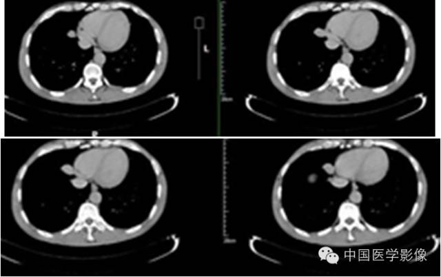
【影像资料】
平扫

动脉期

静脉期

延迟期

结果马上公布……
【病理结果】
孤立性纤维性肿瘤

【讨论】
组织起源及流行病学
孤立性纤维性肿瘤(Solitaryfibroustumors,SFT)是少见的梭形细胞软组织肿瘤,以前认为SFT是一种来源于胸膜间皮细胞的少见肿瘤,目前研究认为其是一种来源于CD34阳性的树突状间叶细胞肿瘤,具有向纤维母细胞、肌纤维母细胞分化的特征。SFT可以发生于全身各部位,80%起源于胸膜。胸膜外者以皮下软组织、眼眶及腹腔所占病例最多。SFT好发年龄为20~70岁之间,平均年龄50岁,极少发生于儿童及青年,无明显性别差异。
病理
SFT大体标本一般表现为:包膜完整,质地坚韧,切面呈灰白色或灰红色,部分可见致密黄色脂肪组织。HE镜下表现形态多样,无一致的排列模式被描述为无特征构像,但仍具有以下特点:肿瘤细胞大小较一致,胞质含量少,核染色质均匀分布,细胞排列无一定模式,肿瘤细胞与嗜酸性胶原混杂排列,肿瘤细胞呈束状或散乱排列成细胞密集区和细胞疏松区,前者胶原较少呈小簇状或网状穿插于细胞间,后者胶原丰富呈粗带状,并可形成瘢痕疙瘩样的密集胶原束。肿瘤中血管较丰富并可形成典型的血管外皮瘤样区。SFT免疫组织化学特点为CD34阳性,其对于SFT的鉴别诊断很有价值,但CD34阳性并非SFT所特有故确诊SFT除依靠免疫组织化学外必须具备光镜下多样化的组织学形态及特征。
临床表现及治疗
孤立性纤维性肿瘤生长较缓慢肿瘤体积较小时一般无临床症状,体积较大时一般常表现为以压迫为主的非特异性症状。胸部患者表现为胸闷、气短、呼吸困难以及胸痛等,腹部主要表现为腹胀腹痛等症状,眼部主要表现为眼球突出视力下降,颅内病灶常与病灶大小及部位相关,一般表现为颅内压增高症状。文献报导SFT可出现低血糖症状,手术后低血糖症状逐渐消失,血糖逐渐恢复至正常水平。文献认为引起低血糖机制有:肿瘤压迫自主神经,迷走神经极度兴奋;肿瘤引起葡萄糖消耗增加;糖异生抑制;肿瘤分泌胰岛素样物质IGF-Ⅰ及IGF-Ⅱ。
SFT治疗以手术切除为主要治疗手段,但SFT的生物学行为并非均可准确预测,文献报道约10%-23%的胸膜腔内和近10%胸腔外SFT具恶性生物学行为,表现为局部复发或远处转移转移,部位通常为肺骨和肝。
CT、MRI表现
SFT影像表现具有以下特征:
1.外形及囊变坏死:良性SFT一般为边界清晰的单发肿块无分叶或浅分叶,肿瘤大多呈实性,囊变坏死区较小。恶性SFT一般为囊实性或囊性为主肿块呈分叶状坏死范围广泛。
2.密度或信号特点:肿瘤实性部分CT表现为软组织密度,囊变坏死区呈低密度。位于胸腔的SFT尽管体积巨大,但密度相对均匀,坏死少见且范围多较小。良性肿瘤坏死少见,恶性肿瘤不规则坏死区相对多见。腹部SFT都有不同程度的坏死囊变和钙化。MRI除了能够提供明确肿瘤的确切部位及累及范围外,对于明确肿瘤的组成成分具有重要价值。MR信号改变与肿瘤的组织学特征密切相关,其内成熟的纤维组织在T1WIT2WI序列上均呈低信号,而肿瘤细胞及血管聚集区则呈等T1长T2信号,因此T1WI一般为等信号或低信号T2WI多为混杂信号。文献认为T2WI低信号对于本病诊断具有重要价值。
3.包膜:良性孤立性纤维性肿瘤多具有明显的包膜,文献报道包膜出现率约50%。包膜出现可能与肿瘤缓慢生长过程中对周围正常组织缓慢压迫有关。
4.铸型生长:由于良性SFT生长缓慢,发生于胸膜腔的孤立性纤维性肿瘤常呈斜圆锥体状,铸型镶嵌于肋膈角。此征象的出现与病灶生长时间及部位密切相关。
5.钙化:少见,文献报道部分病灶内可发生斑点、斑片状钙化,常发生在较大的肿瘤,可能与肿瘤坏死有关。
6.增强扫描:SFT为富血供肿瘤,增强扫描呈肿瘤实性部分呈地图样明显强化、延迟扫描进一步强化是SFT的主要特征。病灶实性部分显著强化与镜下血管外皮瘤样分布区及细胞密集区有关,而肿瘤内部坏死囊变区不强化。此外,细胞稀疏区与胶原纤维束玻璃样变区域强化相对较弱,因此形成地图样不均匀强化表现。持续性强化的模式可能与病灶内胶原纤维缓慢强化有关,还可能与黏液样变及细胞疏松排列导致细胞外间隙扩大对比剂在细胞外间隙内进行性聚集有关,因此动态扫描对于本病的诊断具有重要价值。
7.肿瘤继发性改变:胸腔积液,邻近肺组织受压移位、不张,呈“帽状”实变。可伴有周边骨质破坏及溶骨改变。








鉴别诊断
SFT由于发生部位的不同须分别与相应部位好发肿瘤相鉴别:
1.肺内SFT应与肺癌以及其它肺内良性肿瘤相鉴别:胸膜SFT宽基底与胸壁相贴,肿瘤主体位于肺外,囊变坏死少见,可出现局部肺组织受压不张,增强多为轻中度强化,可见多发的肿瘤血管及“地图状”、“多发结节状”强化等特征性表现;肺癌常边界欠光滑可见毛刺征分叶征以及胸膜凹陷等征象;肺错构瘤常表现为边界清晰光滑的软组织结节影,多数可见爆米花样钙化;恶性胸膜间皮瘤一般病程较短,临床症状较重,胸膜可见多发结节或弥漫性增厚,常合并大量胸膜腔积液。
2.腹腔的SFT需与胃肠道间质肿瘤鉴别:胃肠道间质肿瘤起源于粘膜下肿块可向腔内外生长,肠管常偏心性,继发狭窄,免疫组织化学CD117为弥漫强阳性。
3.颅内SFT应与脑膜瘤相鉴别:SFT强化明显,T2WI以低信号为主,钙化少见;脑膜瘤常沿脑膜方向生长,脑膜尾征,常见可见钙化,邻近骨质常有增生硬化改变,信号特点常以等信号为主。
4.眼眶的SFT应与海绵状血管瘤相鉴别:该肿瘤一般T2WI明显高信号增强扫描渐进性明显强化。
5.肾脏、腮腺病例少见,鉴别诊断较困难。
总之影像学发现边界清晰的单发软组织肿块,具有假包膜,增强扫描地图样显著强化,延迟扫描,进一步强化,T2WI以低信号为主时应考虑到本病的可能性,最终确诊仍需病理学及免疫组织化学。
【参考文献】
1.侯刚强,张小静,沈比先,熊伟.孤立性纤维性肿瘤影像表现及病理对照分析.医学影像杂,2013,23(6):894-898.
2.王汉杰,夏淦林,丁勇生,司海峰.孤立性纤维性肿瘤的CT诊断和鉴别诊断.中国医学计算机成像杂志,2013,19(6):504-508.
下一篇:新生儿气胸X线诊断