【病例】周围型肺癌1例CT影像特点
发布时间:2022-10-21
发布时间:2022-10-21
[病程描述]
男,59岁,咳血待查。




[影像描述]
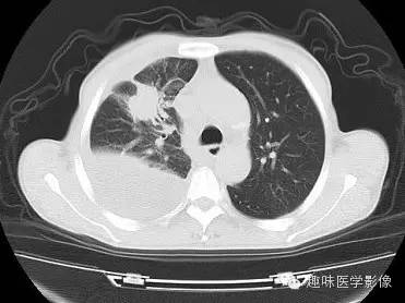
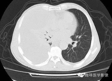
CT: 右侧胸廓缩小。右肺上叶前段结节,略分叶,可见长短不一毛刺,胸膜牵拉征及血管集束征,右肺组织向肺门萎陷,左肺清晰,未见异常。纵隔内见淋巴结肿大(4R淋巴结增大)。右侧前壁及侧后胸壁包裹性积液征象。
[检查结果]
右上肺周围型肺癌,纵隔淋巴结转移,胸膜腔包裹性积液。
[讨论]
周围型肺癌CT表现
1)肿瘤的边缘多有毛刺症状或者棘突影像。毛刺症状多为肿瘤组织向肺外正常组织伸出的细长、无分支的短线条影像,CT所有层面都能发现,而且近肺门部更加清晰。
2)多数患者肺部病变组织均匀,当肿瘤内部出现坏死症状,CT影像会出现空洞及钙化影。CT显影钙化灶多成斑点状或结节状。
3)空泡征是肺癌典型的CT影像,肿瘤直径小于3cm时,瘤体中央会出现多个1-2mm大小的点状低密度影,或多个影像融合。同时伴有纵隔、胸膜的转移,本例CT上可见4R淋巴结增大,胸膜腔包裹性积液。