【病例】右肺巨大错构瘤1例CT影像表现
发布时间:2022-10-21
发布时间:2022-10-21
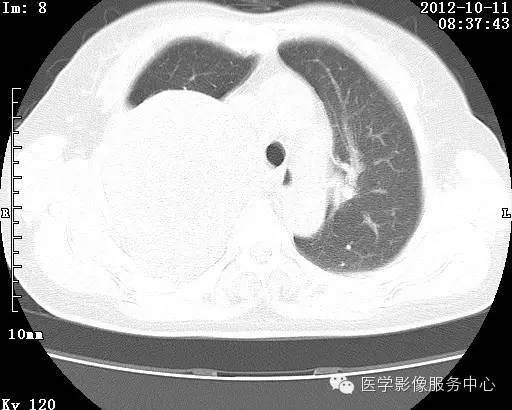
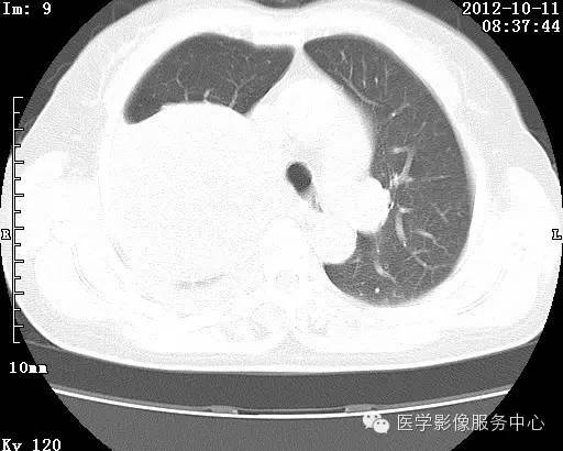
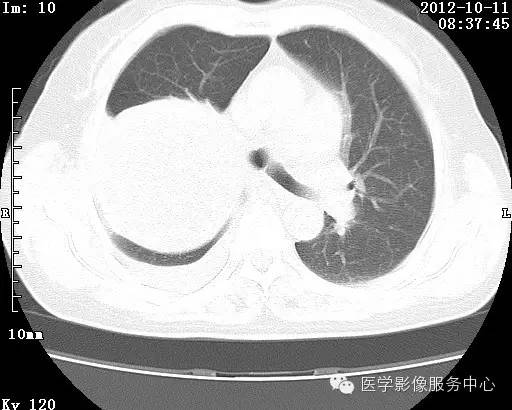
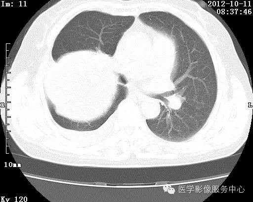
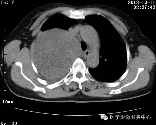
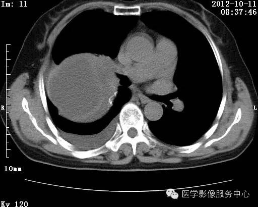
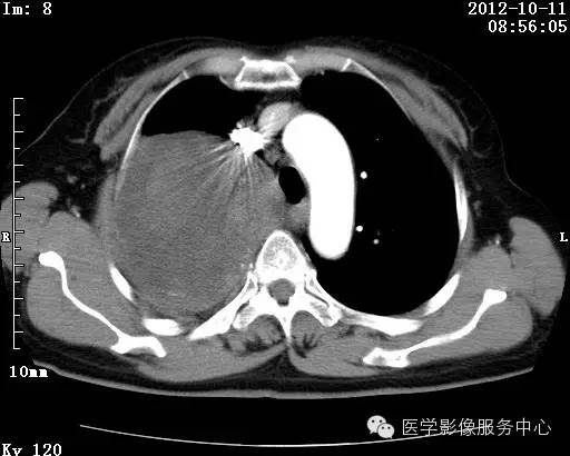
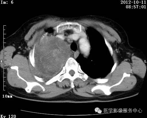
病史:女 65岁咳嗽咳痰 右肺巨大肿块就诊。




















错构瘤是支气管的一片组织在胚胎发育时期倒转和脱落,被正常肺组织包绕,这一部分组织生长缓慢,也可能在一定时期内不生长,以后逐渐发展才形成瘤。常无临床表现,多为体检时影像学检查偶然发现。
错构瘤的主要组织成分包括软骨、脂肪、平滑肌、腺体、上皮细胞,有时还有骨组织或钙化。错构瘤一般为实质致密的球形、卵圆形,也可以是分叶状或结节状,大多数直径在3cm以下。

错构瘤的发病年龄多数在40岁以上,男性多于女性。 绝大多数错构瘤(约80%以上)生长在肺的周边部,紧贴于肺的脏层胸膜之下,有时突出于肺表面。其特征钙化为爆米花样钙化,内有脂肪软骨成分等等。最常见的部位是胸膜下肺实质内,其次为主支气管或肺叶、肺段支气管内。
理论上肺错构瘤为良性肿瘤,其结节形态、边界、与胸膜关系、与肺门关系、淋巴结肿大及与血管关系均应符合良性肿瘤的特点。
两大诊断指标:
瘤内出现“爆米花样钙化”是诊断的主要指标之一。早期的点状、斑片状及结节状钙化 随时间增加钙化数量及范围会增加,最终可能演变 为爆米花样钙化;
另一项主要指标是瘤测得脂肪成分是诊断错构瘤。
由于不典型错构瘤极易误诊为周围型肺癌和/或结核球,故应与二者鉴别。
结核球患者既往病史中可能有明确的肺结核病史,周围多可见卫 星病灶,增强扫描无强化或仅有包膜强化,此外纵隔 肺门淋巴结多有钙化征象;
周围型肺癌绝大多数边界不光整, 可见短毛刺,钙化不常见,爆米花样钙化更罕见,而 且往往合并有纵隔肺门淋巴结增大增多,患者临床症状较为明显。