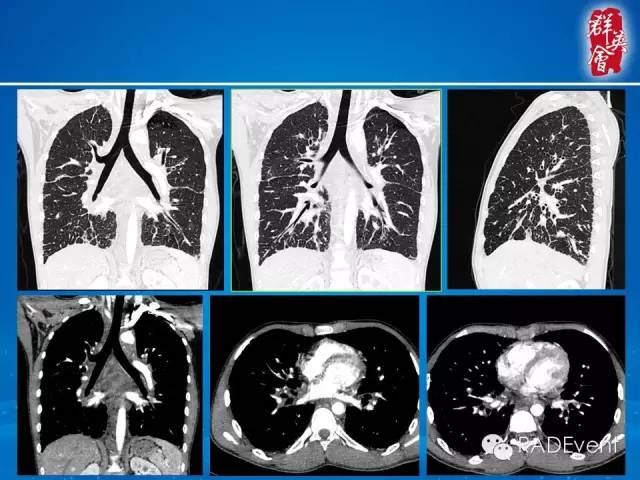
【病例】弥漫性肺淋巴管瘤病1例CT影像表现

发布时间:2022-10-21

【病例】弥漫性肺淋巴管瘤病1例CT影像表现

【病例】弥漫性肺淋巴管瘤病1例CT影像表现

【病例】弥漫性肺淋巴管瘤病1例CT影像表现

【病例】弥漫性肺淋巴管瘤病1例CT影像表现

【病例】弥漫性肺淋巴管瘤病1例CT影像表现

【病例】弥漫性肺淋巴管瘤病1例CT影像表现

【病例】弥漫性肺淋巴管瘤病1例CT影像表现

【病例】弥漫性肺淋巴管瘤病1例CT影像表现
【病例】弥漫性肺淋巴管瘤病1例CT影像表现
【病例】弥漫性肺淋巴管瘤病1例CT影像表现

【病例】弥漫性肺淋巴管瘤病1例CT影像表现

【病例】弥漫性肺淋巴管瘤病1例CT影像表现

【病例】弥漫性肺淋巴管瘤病1例CT影像表现

【病例】弥漫性肺淋巴管瘤病1例CT影像表现

【病例】弥漫性肺淋巴管瘤病1例CT影像表现

【病例】弥漫性肺淋巴管瘤病1例CT影像表现

【病例】弥漫性肺淋巴管瘤病1例CT影像表现

【病例】弥漫性肺淋巴管瘤病1例CT影像表现

【病例】弥漫性肺淋巴管瘤病1例CT影像表现

【病例】弥漫性肺淋巴管瘤病1例CT影像表现

【病例】弥漫性肺淋巴管瘤病1例CT影像表现

【病例】弥漫性肺淋巴管瘤病1例CT影像表现

【病例】弥漫性肺淋巴管瘤病1例CT影像表现

【病例】弥漫性肺淋巴管瘤病1例CT影像表现

【病例】弥漫性肺淋巴管瘤病1例CT影像表现

【病例】弥漫性肺淋巴管瘤病1例CT影像表现

【病例】弥漫性肺淋巴管瘤病1例CT影像表现

【病例】弥漫性肺淋巴管瘤病1例CT影像表现

【病例】弥漫性肺淋巴管瘤病1例CT影像表现

【病例】弥漫性肺淋巴管瘤病1例CT影像表现

【病例】弥漫性肺淋巴管瘤病1例CT影像表现

【病例】弥漫性肺淋巴管瘤病1例CT影像表现

【病例】弥漫性肺淋巴管瘤病1例CT影像表现

【病例】弥漫性肺淋巴管瘤病1例CT影像表现

【病例】弥漫性肺淋巴管瘤病1例CT影像表现

【病例】弥漫性肺淋巴管瘤病1例CT影像表现

【病例】弥漫性肺淋巴管瘤病1例CT影像表现

精彩图片

热门精选