肺部空洞的鉴别诊断
发布时间:2022-10-21
发布时间:2022-10-21
1.结核性空洞:多为中央型,一般空洞壁厚比较一致,有时洞内可见液平,其周围伴有卫星灶。

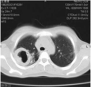
2.癌性空洞:多偏心形,内壁凹凸不平,无间隔,壁可厚薄不同,分叶,并常见外壁多为短毛刺并有兔耳征和(或)胸膜凹陷征,同时癌块在直径2 cm以下者很少见及有空洞的发生。

3.胶原性疾病:肺部病变表现不一,但肺部X线表现系多灶性并可出现空洞,单个性孤单的空洞罕见。
4.寄生虫疾病:可呈现空洞,常见的疾病为肺吸虫病和包虫囊肿,肺吸虫病的空腔为多囊性,空腔周围有炎症浸润,大囊肿常见有液平,虽可单个存在但患者多诉有血痰(即果酱色或巧克力色痰)。肺包虫病其空腔有一定的特征,圆形、囊壁平整、腔内可见包虫头、牧区人群好发.
5.肺神经元性肿瘤:可以出现空洞但多位于后壁,很少见于右上叶后段,临床上可有胸部隐痛。
6.先天性囊肿:一般X线表现空腔为薄壁,壁内外均光滑,反复感染后腔内外壁才会逐渐变厚,腔内常可于感染后出现液平。
7.霉菌性肺部疾病:空腔病变为多灶性,偶有单个空腔者。临床的特点为咳嗽、咳痰,痰粘可拉成索状,多见来自农村的病例,有接触含霉菌的尘埃或霉草堆。

8.急性感染性肺部疾病:如肺脓疡,在空洞周围必然形成大量浸润炎性病变,空洞内可有液平。临床上应有急性症状如高热、咳黄脓并有臭味痰液,一旦进入慢性阶段,空洞仍可存在,周围炎症可吸收.

一、肺内单发空洞
(1)肺内单发空洞的病变
1.周围型支气管肺癌:周围型肺癌的空洞发生率为2%~16%,其中:鳞状细胞癌占80%,腺癌和大细胞癌占20%,支气管肺泡癌可发生空洞或薄壁囊性病变,单发或多发。小细胞未分化癌一般不发生空洞。
2.肺结核:在成人肺结核中空洞约占40%。主要见于继发性肺结核,少数原发病灶也可形成空洞。空洞可能为厚壁或薄壁。肺结核的空洞分为:
(1)浸润干酪灶的空洞:为浸润病变内发生干酪性坏死后产生的空洞。洞壁较薄,主要由增生的结核性肉芽组织构成,内壁为较薄的干酪性物质。
(2)纤维干酪空洞及干酪空洞:病灶发生的空洞,洞壁有较厚的干酪层及较薄的结核性肉芽组织和纤维包膜。结核球的纤维包膜完整。
(3)纤维空洞:具有典型的干酪性坏死、结核性肉芽组织和纤维组织3层结构。纤维组织为空洞壁的主要成分,由于纤维组织的收缩与牵拉,空洞形态不规则。河北医科大学第三医院影像科杜传国
3.肺脓肿:急性肺脓肿的壁主要为炎性渗出病变,慢性肺脓肿的壁以纤维组织占主要成分。肺脓肿发生于肺炎后、吸入性及由肺外蔓延的病变,后者见于阿米巴肺脓肿。
4.肺霉菌病:主要见于新型隐球菌、笰状菌等。
5.尘肺空洞:空洞发生在进行性尘肺融合块的基础上,常合并肺结核。空洞病灶较大,形态不规则,洞壁以厚壁为主,薄厚不均。内壁为较薄层的干为结核球或干酪壁、薄壁或厚度不均匀。
6.其他疾病:如肺梗死和结节病等。
(二)肺内单发空洞的鉴别诊断
单发空洞的鉴别诊断是根据空洞病变的大小、洞壁的厚度、空洞内外缘的表现、洞内及周围的异常形态等。
1. 空洞病变的大小:2cm 以下结节发生空洞以肺结核多见,肺癌在2cm以下较少发生空洞。4cm以上的肿块发生空洞多见于肺癌。有的肺结核空洞如纤维厚壁空洞和纤维干酪空洞也较大,前者形态不规则,后者有的与肺癌鉴别困难,需结合临床及实验室检查。慢性肺脓肿空洞可较大或较小。煤工尘肺空洞病灶较大。
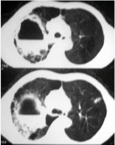
2.空洞壁的厚度:一般将洞壁厚3mm以上称为厚壁空洞,<3mm薄壁空洞。厚壁空洞的疾病较多,常见于肺癌、肺结核的纤维干酪空洞、干酪空洞和纤维厚壁空洞,以及急性及慢性肺脓肿。薄壁空洞见于肺结核的浸润干酪灶空洞和纤维薄壁空洞。空洞壁薄厚不均见于肺癌和肺结核,明显的厚度不均匀使空洞为偏心性或特殊形态。 肺癌空洞的壁一般在肺门侧较厚,空洞多偏于外侧。结核球在引流支气管开口处的干酪病变最先软化,因此空洞腔开始多位于病变的肺门侧,即与引流支气管相连处,呈小圆形。空洞进一步发展呈新月状,也多位于病变的肺门侧,最后可形成类圆形空洞。霉菌引起的空洞根据病原菌种类不同可为厚壁、薄壁或厚薄不均。 3.空洞的内缘:内缘光滑见于肺脓肿、肺结核纤维空洞;内缘毛糙见于肺脓肿、肺结核的纤维干酪空洞;空洞内缘凹凸不平见于肺癌和肺结核纤维干酪空洞;空洞内缘的壁结节主要发生于肺癌,肺结核纤维干酪空洞内的未液化的干酪物质也可以形成壁结节。
4.空洞的外缘:空洞外缘清楚者见于肺结核纤维干酪空洞、慢性肺脓肿,有的肺癌空洞的外缘也光滑清楚。外缘有毛刺及“ 放射冠”影像者见于肺结核的纤维厚壁空洞和肺癌。外缘有分叶者多见于肺癌。
5.空洞周围:卫星灶见于肺结核的各种空洞。病变与胸膜之间的线状影像在肺癌、肺结核和肺脓肿空洞均可出现。空洞周围有片状浸润影像者为急性肺脓肿、浸润干酪灶空洞,慢性肺脓肿附近有的可见局限的片状影像。空洞周围有明显的肺气肿和纤维索条影者多见于尘肺。
6.空洞腔内容物:气液平面主要见于急性肺脓肿。一般认为肺结核空洞无气液面,但有的研究指出,气液面在肺结核空洞占9%~21%,多为合并感染及出血。空洞内的固体成分为肿瘤结节、干酪坏死物、凝血块和霉菌球等,在空洞内气体的衬托下使空洞表现为不同的形态。霉菌球发生于肺癌、肺结核及慢性肺脓肿空洞,或支气管扩张、肺囊肿内,为类圆形可移动的结节,多位于坠积部位。新月形空洞为弓形的气体影,总是位于霉菌球的上方。若空洞内容物与洞壁附着,如侵袭性笰状菌病、肺癌、肺结核空洞,新月形的气体影可位于空洞的侧方或下方。如空洞内容物与空洞的前壁或后壁附着,在后前位投影形成“ 靶样征”。有的固态内容物位于液体之上形成“水上浮萍征”,见于细粒棘球蚴囊肿的内膜破裂后,此症属于空腔病变,应当与空洞病变鉴别。
7.增强表现:一般用于2cm~3cm大小的厚壁空洞病变的鉴别诊断。肺结核的纤维干酪空洞的洞壁不强化或外周有薄层强化,肺癌空洞的壁大部强化。
二、肺内多发空洞
(一)肺内多发空洞的病变
1. 肺结核:任何的结核空洞都可以为多发性,多为支气管播散肺结核空洞。
2.肺转移瘤:肺转移结节内有空洞者约占4%,以鳞状上皮癌最常见,在X线检查中占肺转移瘤空洞的69% 。但根据CT检查,腺癌转移有空洞占9.5% ,鳞癌占10%。可发生空洞性肺转移的常见原发恶性肿瘤有:头颈部的鳞状上皮癌、胃肠道的腺癌和乳腺癌等。洞壁为不规则的厚壁至非常薄而光滑的薄壁。薄壁的转移空洞多由原发的肉瘤和腺癌引起。
3.血原性多发性肺脓肿:由金黄色葡萄球菌败血症所致。
4.霉菌:主要见于隐球菌及侵袭性笰状菌病。
5.其他疾病:尘肺、寄生虫病(主要见于肺吸虫)、胶原-血管疾病类风湿结节)、肉芽肿( 韦氏肉芽肿、结节病及嗜酸性肉芽肿)、血管性疾病(脓毒性栓子,多由外伤或血管内置留导管所致,引起多发性的小血管栓塞及化脓性炎症和空洞)、恶性淋巴瘤和组织细胞病等。
(二)多发空洞的鉴别诊断
肺内多发空洞的鉴别诊断要结合空洞的分布特点、的部位、肺内的合并影像及动态变化等。
两肺多发的较小空洞:空洞病变多在2cm以下。主要见于肺结核、肺转移瘤和肺脓肿。较为少见的疾病为嗜酸性肉芽肿、败血病性肺栓塞或肺梗死等。鉴别诊断主要依据空洞的形态及肺内合并的病变。
(1)肺结核:空洞大小不均,可为薄壁及厚壁。鉴别诊断时,应注意到每个空洞一般具有单发结核空洞的特点。如空洞偏向肺门侧,有引流支气管,周围有卫星灶,肺内其他部位合并斑点和索条影像,病变密度不均、可有钙化灶。病变在两肺尖后段和下叶背段较多.
(2)转移瘤:肺内多发的空洞往往合并多发结节。空洞与结节在总体分布上具有随机分布结节的特点,即可位于胸膜下、支气管血管束周围和肺实质内,在各个部位的分布大致相同。病灶的大小不一,病变的密度较为均匀。
(3)多发性肺脓肿:空洞大小均匀或不均匀、空洞壁多较厚,洞内可有液平、肺内合并有多发斑片和模糊的结节病灶者较多见。
(4)嗜酸性肉芽肿:在细支气管周围有由嗜酸性粒细胞为主的肉芽肿病变,形成多发的小结节及结节内的空洞,病变在小叶中心分布,上叶多见。
2.两肺散在分布的多个较大空洞:以肺结核最多见。
(1)肺结核:可为浸润干酪灶的空洞、纤维瘤型空洞和纤维厚壁空洞,周围有斑点、结节和索条影像,多位于上叶尖后段和下叶背段。
(2)霉菌:以新型隐球菌较多见,空洞外缘模糊,合并片状及模糊的结节影像,动态变化较快。
(3)肺吸虫病:一般为薄壁,单房或多房性,周围可有条索和斑片影。
(4)韦氏肉芽肿:病灶为肺内多发结节,由肉芽肿和炎症构成。较大的结节内发生空洞,多在2cm以上的病灶发生。
(5)淋巴瘤:空洞发生于结节及肿块型淋巴瘤。病变为多发性,大小不一,为薄壁或厚壁空洞。
(6)血管脓毒性栓子:多发空洞合并多发结节和楔形影像。有的空洞可较小,可见空洞与供血的血管相通。
三、肺叶、肺段病变的空洞
肺叶、肺段实变或肺不张可合并空洞,主要为大叶性肺炎、肺脓肿、肺结核和肺癌。
(一)肺炎
1.急性肺炎合并肺脓肿:有的大叶性肺炎可合并急性肺脓肿。X线及CT表现为肺叶或肺段实变影像内的透亮影及气液平面。空洞一般较大,主要病原菌为肺炎双球菌。引起类似影像的其他疾病有某些革兰氏阴性杆菌,如克雷白杆菌等并发的肺脓肿,多见于免疫损害的患者。
2.慢性肺炎合并的肺脓肿:慢性肺炎可呈肺叶或肺段实变影,可合并肺体积缩小。一般为单发空洞,可合并支气管扩张。
(二)肺结核
1.虫噬状空洞:又称无壁空洞,见于干酪性肺炎及大片纤维干酪灶。一般为单发空洞,可合并支气管又称无壁空洞、干酪空洞,见于干酪性肺炎及大片纤维干酪灶。影像表现为肺叶、肺段或大片实变影呈单发、多发或融合,空洞直径约0.5~1.0cm,类圆形,洞壁模糊
2.硬化多房性空洞:肺结核毁损肺内的空洞为多发性,呈类圆形或不规则状,常紧密相连,洞壁有大量的纤维结缔组织,周围有多种形态及不同密度的结核病灶,如干酪组织、肉芽组织、肺硬变、胸膜增厚等。
3.慢性纤维空洞型肺结核:空洞为纤维厚壁空洞,常为多发性。周围有浸润、干酪结节、纤维化及胸膜增厚等多种病变,肺脏体积减小。
4.支气管阻塞疾病合并的肺脓肿:中央型肺癌或支气管其他肿瘤或病变引起的阻塞性肺炎及肺不张可合并肺脓肿。但由于支气管狭窄及阻塞使脓肿内的液体不易排出,也不易吸入空气,故空洞较为少见。CT增强扫描或MRI可显示阻塞性肺炎内的坏死和液化病变。
四、类似空洞的病变
肺内空腔病变需与空洞鉴别。空腔是肺内生理肺腔隙的的异常扩张。常见病变为囊肿和肺大泡等。在影像上,空腔的的壁厚为1cm及其以下,此为与空洞鉴别的主要依据。在空腔的鉴别方面,孤立存在的空腔一般为肺囊肿,合并有肺气肿的空腔多为肺大泡。肺气囊是金黄色葡萄球菌性肺炎的合并表现。有些情况下空腔类似空洞病变,应进一步鉴别。
上一篇:【PPT】早期肺癌易漏诊征象分析
下一篇:【PPT】肺癌CT高危征象解析