单侧肺动脉缺如1例
发布时间:2022-12-07
发布时间:2022-12-07
病史:
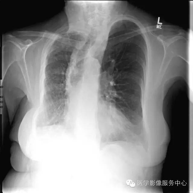
男性,73岁,胸闷、气短一周余。

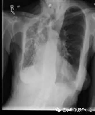
数年前胸片↑↑






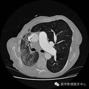
诊断:单侧肺动脉缺如(UAPA)
讨论
UAPA为先天性肺血管畸形,其肺动脉主干与肺实质内肺血管之间的连接段单侧缺如,而缺如侧肺动脉远端部分和肺内血管正常存在。有研究认为该畸形可能由胚胎发育初期第6对主动脉弓一侧发育缺陷或过早闭塞所致;另有研究推测UAPA可能由原始主动脉弓腹侧芽包发育失败所致。
UAPA早期多无症状,易被忽视,患者常以呼吸道感染就诊,因X线胸片检查发现两肺透光度不对称而引起临床医师注意。早期UAPA常见症状和体征包括反复肺部感染、咯血、活动后胸闷和气喘,查体患侧胸廓缩小,呼吸音减低,心脏与纵隔向患侧移位,偶于心底闻及收缩期杂音,肺动脉高压者可于肺动脉瓣区闻及第二心音亢进。随病变进展,UAPA临床症状可表现为呼吸困难、发绀、反复肺部感染和咯血,大量咯血时可危及生命。
影像表现:
UAPA典型X线表现为患侧肺纹理稀疏肺、容积减小和透光度减低;患侧肺动脉段缺如对诊断UAPA具有重要提示意义,但由于肺纹理稀疏如诊断经验不足多不能明确此征象。胸部X线平片提示病变后,应首选胸部CT平扫进一步检查。
胸部CT平扫显像能力优于X线平片,显示UAPA典型征象更明显,偶尔可见患侧肺动脉段缺如。当见患侧失去正常肺小叶结构时,提示原发病导致肺泡发育障碍;另外可见肺纹理纤细走行僵直、肺门菲薄,可伴发肺大泡、间质改变及其他肺部病变。
鉴别诊断:
UAPA需与以下疾病相鉴别
1.单侧透明肺:患肺体积减小,血管纹理偏细小,患肺透光度较健侧增高,肺门血管影可见;
2.先天性大叶性肺气肿:患肺血管纹理偏细小,患肺透光度增高,肺体积增大
3.单侧肺未发生或肺发育不全:患侧胸廓体积减小,肺野内纹理纤细,常合并支气管不同程度发育不良
4.单侧肺静脉闭塞:患肺体积减小,透光度减低,肺血管影纤细,单侧肺静脉闭塞,肺野内小叶间隔明显增厚。