【病例】成人多脾综合征2例

发布时间:2022-10-26

【病例】成人多脾综合征2例
【病例】成人多脾综合征2例
【病例】成人多脾综合征2例
【病例】成人多脾综合征2例
【病例】成人多脾综合征2例
【病例】成人多脾综合征2例

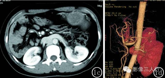
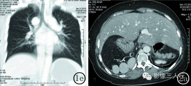
图 1 女性 , 32 岁 。 图 1a 肝段下腔静脉缺如 ,奇静脉异常扩张 。 图 1b 脾位于胃体后方 ,呈一类圆形团块影 ,胰腺体尾部缺如 ,胃旋转不良 。图 1c 双侧肾静脉回流入奇静脉 ,小肠均位于腹腔右侧 ,结肠位于腹腔左侧 。 图 1d 腹腔干及肠系膜上动脉共干 ,起始部明显狭窄 ,腹腔干发
育细小 ,仅发出一支脾动脉 ,肠系膜上动脉向上发出肝总动脉及胃左动脉 。 图 1e 右肺上叶支气管发育细小 ,右肺上叶容积减小

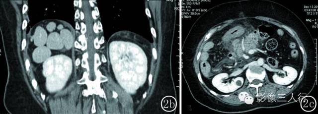
图 2 女性 , 52 岁 。 图 2a 水平肝 ,胃 、脾反位 ,均位于右季肋区 ,脾呈多个大小不等的结节 ,肝段下腔静脉缺如 ,奇静脉及半奇静脉异常增粗 。 图 2b冠脉位重建图像 :右侧季肋区可见 6 个大小不等的小脾脏 。 图 2c 胰腺反位 ,胰腺体尾部发育短小 ,胰腺周围可见渗出 ,双侧肾静脉回流入奇静脉

【病例】成人多脾综合征2例
【病例】成人多脾综合征2例

精彩图片

热门精选