冠状动脉CT血管成像最新临床应用推荐及诊断规范
发布时间:2022-10-25
发布时间:2022-10-25
摘要
近3年来,欧洲心脏病学会(ESC)和美国心脏病学会(AHA)、美国心脏病学院(ACC)均连续更新冠心病相关诊断指南,将冠状动脉CT血管成像(CCTA)列为非典型或典型心绞痛等有症状患者排查冠心病的首选检查方法(Ⅰ类推荐),甚至将非ST段抬高急性冠状动脉综合征(NSTEMI)的中低危患者,也纳入CCTA检查适应证,起到了导管室“看门人”的作用。CCTA对于冠状动脉粥样硬化斑块特征识别、量化评估具有巨大的优势,从而为冠心病患者Ⅰ级和Ⅱ级预防提供直接证据,CCTA对于冠心病的风险分层及预后评估也具有重要价值。本文主要就CCTA的最新临床应用推荐以及规范化诊断进行阐述,包括钙化积分测量、斑块量化评估,尤其是易损斑块的识别、管腔狭窄程度的判断、心肌缺血的识别等,有助于临床工作的规范应用。
主要内容:
一、CCTA最新临床适用性推荐
1. CCTA在慢性冠状动脉病变的应用推荐
2. 稳定性冠心病功能学评估
二、CCTA诊断规范
1. 图像质量评估:
2. CAC积分评估:
指南规定,行CCTA前需要进行CAC扫描。CAC定义为冠状动脉管壁上CT值>130 HU的斑块。采用图像后处理工作站,将计算机自动识别的钙化斑块定义归类于冠状动脉血管分支,主要包括左主干、前降支、回旋支和右冠状动脉,即可得到各支冠状动脉的病灶数目、钙化体积、质量(mass)和Agatston积分;所有分支血管钙化积分的总和即是该患者的总钙化积分。目前指南均推荐临床使用Agatston评分,并不常规使用质量和体积评分方法。
3. 冠状动脉粥样硬化斑块负荷评估:
(1)斑块负荷:①斑块性质:软件根据CT值对斑块成分进行自动识别和分类,其中CT值>350 HU为钙化斑块,CT值131~350 HU为纤维斑块,CT值31~130 HU为纤维脂质斑块,CT值-30~30 HU为坏死核心;②斑块负荷:斑块包括长度(mm)、总体积及各种斑块成分体积(mm3)、各种斑块成分负荷(斑块体积/总体积×100%);③管腔狭窄程度:斑块处管腔横截面积、斑块横截面积,计算管腔狭窄率(但因不同软件测量的重复性不确定,加之斑块尤其是钙化斑块的影响,CT的分辨力无法达到冠状动脉造影的水平,因此,不推荐采用该方法判断精确狭窄率)。
(2)高危斑块:病理研究表明,急性冠状动脉综合征,包括心源性猝死、急性心肌梗死和不稳定心绞痛,是继发于斑块破裂和侵蚀导致的急性冠状动脉血栓形成,或者慢性病变导致的管腔严重狭窄。这些斑块特征在CCTA上有以下表现。①低衰减斑块:密度<30 HU的斑块(low-attenuation plaques,LAP)(图1)。②管腔阳性重构(positive remodeling,PR),即病变处最大血管直径与近端正常血管段的管径比值>1.1(图2)。具有这两种CT特征的斑块称为两特征阳性斑块(2-feature-positive plaques,2-FPP)。③环状坏死核心(餐巾环征):低CT衰减的中心区域,明显与管腔接触并被一圈高衰减包围(图3),与光学相干断层成像(optical coherence tomography,OCT)验证的薄纤维帽和未来主要不良心血管病事件(major adverse cardiac events,MACE)密切相关。④点状钙化:在任何方向上直径<3mm的小灶性钙化。需要特别指出的是发现易损斑块需要进行危急值上报,告知患者及时就医,也提示临床医师做好风险评估,及时进行干预治疗。
4. 冠状动脉狭窄程度评估:
根据冠心病报告与数据系统(coronary artery disease-reporting and data system,CAD-RADS)的评估,将冠状动脉狭窄程度分为6级,包括0%、1%~24%、25%~49%、50%~69%、70%~99%、100%,但在实际临床工作中,对于狭窄程度在50%以下的病变采取的治疗策略基本相同,一般将狭窄程度分为0%(无狭窄)、1%~49%(轻度狭窄)、50%~69%(中度狭窄)、70%~99%(重度狭窄)和100%(闭塞)5个等级。
与冠状动脉造影比较,CCTA会高估狭窄程度(平均高估10%左右),而收缩期对狭窄程度的高估程度高于舒张期,所以,在判断狭窄程度时,一方面要结合收缩期和舒张期两期的图像,在两期图像均满足诊断的条件下,以舒张期狭窄程度为准。
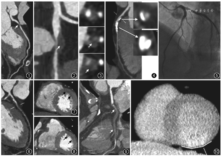
另外,钙化一直是CCTA诊断中遇到的难以解决的最大问题,由于线束硬化伪影及部分容积效应,钙化斑块体积被夸大,更加影响管腔观察和狭窄程度判断。对于钙化病变的管腔判断,要结合长轴和短轴图像仔细分析,避免出现凡是钙化管腔都无法评估和/或凡是钙化管腔都存在狭窄这两个极端判断。通常情况下,无论长轴或者短轴,钙化斑块处的管腔若能够显示,则狭窄程度通常不重(图4),由冠状动脉造影证实(图5);若钙化弥漫成环形或满月形完全遮挡管腔,则报告提示管腔评价受限;若钙化斑块同时合并非钙化成分存在,则管腔存在有意义狭窄的可能性较大。
5. 心肌评估:
CT评估心肌与CMR相似,分成心肌灌注和心肌运动两个层面。心肌灌注反映的是心肌(冠状动脉)微循环的血供情况,心肌运动反映的是心肌(心脏)的收缩舒张功能情况。对比剂进入心肌组织的时间是在冠状动脉显影后的3~5 s,因此合适的CCTA采集时相获得的图像上,观察早期心肌的显影是可能的,但是观察心肌灌注的时间应该在注射对比剂后1~3min,可以评价心肌缺血;而3~5min后的CCTA图像,能够反映心肌缺血坏死后的纤维化病变。
对比剂首次通过左心室心肌时,灌注减少的心肌节段形成特征性低衰减区。冠状动脉重度狭窄或闭塞时(图6),应注意观察其下游供血区心肌是否存在心内膜下灌注减低(图7,8)。当CCTA图像上提示患者具有重度狭窄(>70%及以上狭窄)或者两支或者3支病变时(图9),建议进行CCTA延迟强化扫描,显示与病变血管相对应的供血心肌处的延迟强化,提示心肌纤维化(图10)。

图1~3 冠状动脉高危斑块CT表现。患者,女,52岁,活动后胸痛,休息后缓解1个月余。冠状动脉CT曲面重组显示前降支近段非钙化斑块(图1↑);该斑块内见低密度区(图2↑),测量CT值最低为20HU,管腔呈正性重构,管腔重度狭窄;短轴显示该斑块为低衰减斑块,内见低密度区(图3↑)
图4,5 冠状动脉钙化斑块狭窄程度评估图像。患者,男,61岁,间断胸闷。图4为CT图像,曲面重组显示前降支近段钙化斑块,放大后横轴位(↑)显示两处钙化斑块均可见周边管腔,提示管腔无有意义狭窄;冠状动脉造影证实管腔无明显狭窄(图5)
图6~8 冠状动脉重度狭窄者心肌改变的CT表现。患者,男,58岁,发作性胸痛10年,加重1个月余。冠状动脉CT曲面重组显示前降支弥漫非钙化为主斑块,管腔重度狭窄(图6);左心室短轴CT图像(图7,8)显示前壁心内膜下心肌密度减低,提示心肌缺血(↑)
图9,10 冠状动脉闭塞患者心肌延迟CT表现。男,49岁,冠状动脉CT曲面重组显示右冠状动脉中远段闭塞(图9↑);CT延迟扫描左心室短轴位显示左心室下壁延迟强化,提示心肌纤维化,与冠状动脉病变对应(图10白线)
引用本文: 高扬, 吕滨. 冠状动脉CT血管成像最新临床应用推荐及诊断规范 [J] . 中华放射学杂志, 2022, 56(10) : 1160-1164. DOI: 10.3760/cma.j.cn112149-20220630-00555.