大叶性、小叶性、间质性肺炎你分清了吗?

发布时间:2022-11-17

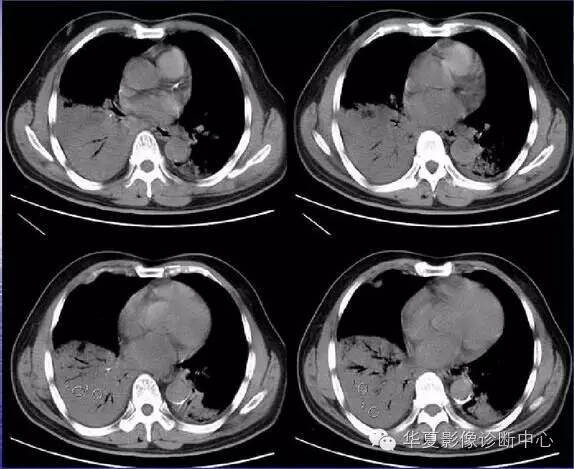
大叶性(肺泡性)
 
肺炎病原体先在肺泡引起炎症,经肺泡间孔向其他肺泡扩散,致使部分肺段或整个肺段、肺叶发生炎症改变。典型者表现为肺实质炎症,通常并不累及支气管。致病菌多为肺炎链球菌。X线胸片显示肺叶或肺段的实变阴影。

 

大叶性、小叶性、间质性肺炎你分清了吗?

 

大叶性、小叶性、间质性肺炎你分清了吗?

 

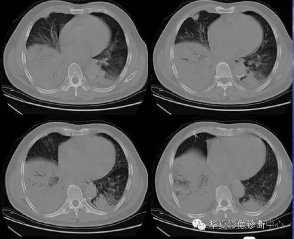
小叶性(支气管性)
 
肺炎病原体经支气管人侵,引起细支气管、终末细支气管及肺泡的炎症,常继发于其他疾病,如支气管炎、支气管扩张、上呼吸道病毒感染以及长期卧床的危重患者。其病原体有肺炎链球菌、葡萄球菌、病毒、肺炎支原体以及军团菌等。支气管腔内有分泌物,故常可闻及湿性啰音,无实变的体征。X线显示为沿肺纹理分布的不规则斑片状阴影,边缘密度浅而模糊,无实变征象,肺下叶常受累。

 

大叶性、小叶性、间质性肺炎你分清了吗?

 

大叶性、小叶性、间质性肺炎你分清了吗?

 

大叶性、小叶性、间质性肺炎你分清了吗?

 

大叶性、小叶性、间质性肺炎你分清了吗?

 

间质性肺炎
 

  

以肺间质为主的炎症,可由细菌、支原体、衣原体、病毒或肺孢子菌等引起。累及支气管壁以及支气管周围,有肺泡壁增生及间质水肿,因病变仅在肺间质,故呼吸道症状较轻,异常体征较少。X线通常表现为一侧或双侧肺下部的不规则条索状阴影,从肺门向外伸展,可呈网状,其间可有小片肺不张阴影。

 

大叶性、小叶性、间质性肺炎你分清了吗?

 

大叶性、小叶性、间质性肺炎你分清了吗?

 

精彩图片

热门精选