右肺下叶硬化性肺细胞瘤1例CT影像
发布时间:2022-12-03
发布时间:2022-12-03
患者男性,34岁
主诉:体检发现肺结节




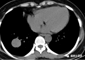
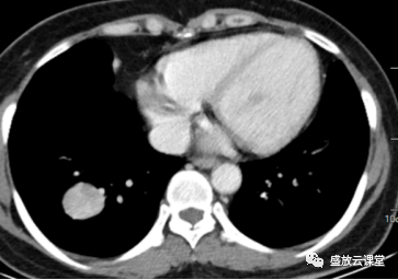
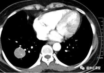
增强CT影像表现
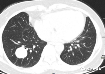
右肺下叶基底段类圆形高密度影,大小约3.0cm×2.9cm
边缘规整,其内见点状钙化,增强扫描明显均匀强化
征象分析
阳性征象
部位:右肺下叶、基底段
形状:类圆形
边界:边界清晰
密度:密度较均匀,其内见点状钙化
强化方式:均匀强化
特点归纳
患者男性,34岁,常规体检,无明显体征
影像学特点(CT):右肺下叶基底段类圆形高密度影,边缘规整,密度较均匀,其内见点状钙化,增强扫描明显均匀强化
诊断结果
影像诊断:
肺硬化性细胞瘤
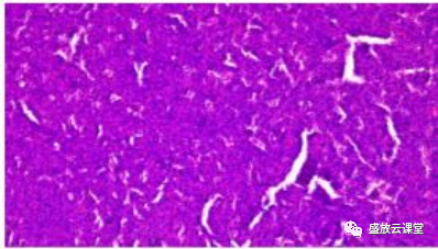
镜下所见:
右肺下叶:肺组织16*13*4厘米,距支气管断端约5厘米见缝线,缝线处见肿物3.5*3.0*2.5厘米,切面灰黄质中,界不清
病理诊断:
(右肺下叶)硬化性肺细胞瘤,细胞生长活跃,注意复查
支气管断端未见特殊


上一篇:【病例】肺转移瘤1例CT影像
下一篇:【病例】缩窄性心包炎1例MR影像